Displasia de cadera en perros: señales y tratamiento
La displasia de cadera en perros es una condición ortopédica que afecta la articulación coxofemoral. Se presenta cuando la cabeza del fémur y la cavidad de la cadera no tienen una congruencia adecuada, lo que genera inestabilidad articular.
Esta alteración produce un movimiento anormal que, con el tiempo, puede provocar inflamación, desgaste del cartílago y cambios degenerativos en la articulación. Su origen es multifactorial e involucra predisposición genética, crecimiento, alimentación y nivel de actividad.
La displasia de cadera en perros se observa con mayor frecuencia en razas de talla mediana y grande. También puede presentarse en pacientes jóvenes durante su desarrollo o manifestarse en la edad adulta con signos asociados a degeneración articular.
Señales clínicas de displasia de cadera en perros
Las manifestaciones clínicas de la displasia de cadera en perros pueden variar según el grado de afectación. En etapas iniciales, los cambios pueden ser discretos.
Entre las señales más comunes se encuentran:
Dificultad para levantarse después del reposo
Disminución en la actividad física
Cojera intermitente
Rigidez en extremidades posteriores
Alteraciones en la marcha
Algunos pacientes presentan resistencia a realizar actividades como subir escaleras o saltar. Estos cambios en el comportamiento pueden estar relacionados con incomodidad en la articulación.
Valoración ortopédica y diagnóstico
La evaluación de la displasia de cadera en perros inicia con una exploración clínica completa. Durante la consulta se analizan la movilidad, la postura y la respuesta del paciente a maniobras específicas.
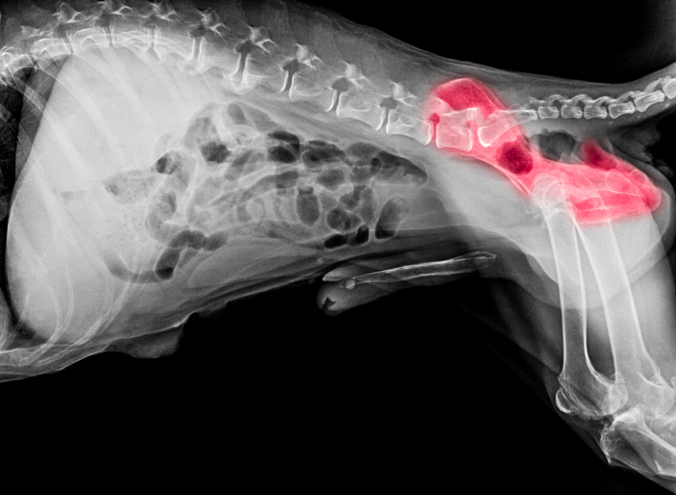
El diagnóstico se complementa con estudios de imagen. Las radiografías permiten valorar la congruencia de la articulación, identificar subluxaciones y observar cambios degenerativos. De acuerdo con la American College of Veterinary Surgeons, estos estudios son fundamentales para confirmar la displasia de cadera en perros y determinar su grado de afectación.
La valoración en un hospital veterinario en Veracruz permite realizar estos estudios en un mismo espacio, lo que facilita la integración del diagnóstico y la toma de decisiones clínicas.
Importancia de la detección temprana
La detección temprana de la displasia de cadera en perros permite establecer estrategias de manejo orientadas a reducir la progresión del daño articular.
En pacientes jóvenes, la identificación oportuna de alteraciones articulares permite implementar medidas que favorecen el desarrollo adecuado de la articulación. En pacientes adultos, el diagnóstico temprano facilita el control de signos clínicos y la evolución de la enfermedad.
El seguimiento clínico periódico es parte del manejo, ya que permite ajustar el tratamiento conforme cambian las necesidades del paciente.
Opciones de tratamiento
El tratamiento de la displasia de cadera en perros depende de factores como la edad, el grado de afectación y el estilo de vida del paciente.
El manejo conservador incluye:
Control del peso corporal
Ajuste de la actividad física
Uso de medicamentos bajo indicación veterinaria
Terapias de rehabilitación
En algunos casos, se consideran procedimientos quirúrgicos con el objetivo de mejorar la función articular. La elección del tratamiento se define con base en la valoración clínica y los hallazgos en estudios de imagen.
Seguimiento y control clínico
El seguimiento de la displasia de cadera en perros es un componente importante del manejo. Las revisiones permiten evaluar la evolución del paciente y realizar ajustes en el tratamiento.
El control del peso, la actividad física adecuada y la supervisión médica contribuyen a mantener la movilidad y la función articular en condiciones estables.
Acudir a un hospital veterinario en Veracruz facilita el acceso a valoración ortopédica, estudios de imagen y seguimiento clínico en un mismo lugar.
Atención veterinaria especializada
La displasia de cadera en perros requiere un enfoque clínico estructurado. La valoración ortopédica y los estudios de imagen permiten definir el manejo de cada paciente.
En Small Animal Center, hospital veterinario en Veracruz, se realizan evaluaciones ortopédicas y estudios de imagen para orientar el tratamiento de acuerdo con las condiciones clínicas de cada paciente